Η σπειραματονεφρίτιδα είναι φλεγμονή των μικροσκοπικών φίλτρων στα νεφρά (σπειράματα). Η περίσσεια υγρών και αποβλήτων που απομακρύνουν τα σπειράματα από την κυκλοφορία του αίματος εξέρχεται από το σώμα με τη μορφή ούρων. Η σπειραματονεφρίτιδα μπορεί να εμφανιστεί ξαφνικά (οξεία) ή σταδιακά (χρόνια).
Η σπειραματονεφρίτιδα εμφανίζεται από μόνη της ή ως συνιστώσα άλλης νόσου, όπως ο λύκος ή ο διαβήτης. Η σοβαρή ή παρατεταμένη φλεγμονή που σχετίζεται με τη σπειραματονεφρίτιδα μπορεί να βλάψει τα νεφρά. Η θεραπεία εξαρτάται από τον τύπο της σπειραματονεφρίτιδας που αντιμετωπίζετε.
Συμπτώματα
Τα σημεία και τα συμπτώματα της σπειραματονεφρίτιδας μπορεί να ποικίλλουν ανάλογα με το αν έχετε οξεία ή χρόνια μορφή της πάθησης και με την αιτία. Μπορεί να μην παρατηρήσετε κανένα σύμπτωμα της χρόνιας νόσου. Η πρώτη σας ένδειξη ότι κάτι δεν πάει καλά μπορεί να προέλθει από τα αποτελέσματα μιας εξέτασης ούρων ρουτίνας (ανάλυση ούρων).
Τα σημεία και τα συμπτώματα της σπειραματονεφρίτιδας μπορεί να είναι τα εξής:
- Ροζ ή χρώματος κόλα ούρα από ερυθρά αιμοσφαίρια στα ούρα σας (αιματουρία)
- Αφρώδη ή φυσαλιδώδη ούρα λόγω περίσσειας πρωτεΐνης στα ούρα (πρωτεϊνουρία)
- Υψηλή αρτηριακή πίεση (υπέρταση)
- Κατακράτηση υγρών (οίδημα) με οίδημα εμφανές στο πρόσωπο, τα χέρια, τα πόδια και την κοιλιά σας
- Ούρηση λιγότερο από το συνηθισμένο
- Ναυτία και εμετός
- Μυϊκές κράμπες
- Κόπωση
Τι προκαλεί σπειραματονεφρίτιδα;
Η σπειραματονεφρίτιδα μπορεί να προκληθεί από διάφορους παράγοντες όπως:
- Τοξίνες ή φάρμακα
- Ιογενείς λοιμώξεις, όπως ο ιός HIV, οι ιοί της ηπατίτιδας Β και C
- Νεφροπάθεια IgA
- Φλεγμονή των νεφρών που σχετίζεται με τον λύκο
- Βακτηριακές λοιμώξεις που συνήθως προκαλούν λοιμώξεις του λαιμού και του δέρματος, όπως στρεπτόκοκκος ή σταφυλόκοκκος

Μετα-στρεπτοκοκκική σπειραματονεφρίτιδα. Η σπειραματονεφρίτιδα μπορεί να αναπτυχθεί μία ή δύο εβδομάδες μετά την ανάρρωση από μια λοίμωξη από στρεπτόκοκκο στο λαιμό ή, σπάνια, από μια δερματική λοίμωξη που προκαλείται από στρεπτόκοκκο. Η φλεγμονή εμφανίζεται όταν συσσωρεύονται αντισώματα έναντι των βακτηρίων στα σπειράματα. Τα παιδιά είναι πιο πιθανό να αναπτύξουν μεταστρεπτοκοκκική σπειραματονεφρίτιδα από ό,τι οι ενήλικες, και είναι επίσης πιο πιθανό να αναρρώσουν γρήγορα.
Βακτηριακή ενδοκαρδίτιδα. Η βακτηριακή ενδοκαρδίτιδα είναι μια λοίμωξη της εσωτερικής επένδυσης των θαλάμων και των βαλβίδων της καρδιάς σας. Δεν είναι σαφές αν η φλεγμονή στα νεφρά είναι αποτέλεσμα της δραστηριότητας του ανοσοποιητικού συστήματος και μόνο ή και άλλων παραγόντων.
Ιογενείς λοιμώξεις των νεφρών. Οι ιογενείς λοιμώξεις των νεφρών, όπως η ηπατίτιδα Β και η ηπατίτιδα C, προκαλούν φλεγμονή των σπειραμάτων και άλλων νεφρικών ιστών.
Αυτοάνοσα νοσήματα
Τα αυτοάνοσα νοσήματα είναι ασθένειες που προκαλούνται από το ανοσοποιητικό σύστημα το οποίο επιτίθεται σε υγιείς ιστούς. Τα αυτοάνοσα νοσήματα που μπορεί να προκαλέσουν σπειραματονεφρίτιδα είναι τα εξής:
Λύκος. Ο συστηματικός ερυθηματώδης λύκος, μια χρόνια φλεγμονώδης νόσος, μπορεί να επηρεάσει πολλά μέρη του σώματός σας, συμπεριλαμβανομένου του δέρματος, των αρθρώσεων, των νεφρών, των κυττάρων του αίματος, της καρδιάς και των πνευμόνων.
Νεφροπάθεια IgA. Η ανοσοσφαιρίνη Α (IgA) είναι ένα αντίσωμα που αποτελεί την πρώτη γραμμή άμυνας κατά των μολυσματικών παραγόντων. Η IgA νεφροπάθεια εμφανίζεται όταν οι εναποθέσεις του αντισώματος συσσωρεύονται στα σπειράματα των νεφρών. Η φλεγμονή και η επακόλουθη βλάβη μπορεί να παραμείνουν απαρατήρητες για μεγάλο χρονικό διάστημα. Το πιο συνηθισμένο σύμπτωμα είναι το αίμα στα ούρα.
Σκληρωτικές παθήσεις
Ορισμένες ασθένειες ή καταστάσεις προκαλούν ουλές στα σπειράματα με αποτέλεσμα κακή και φθίνουσα νεφρική λειτουργία. Σε αυτές ανήκουν οι ακόλουθες παθήσεις:
Υψηλή αρτηριακή πίεση. Η μακροχρόνια, κακώς ρυθμισμένη υψηλή αρτηριακή πίεση μπορεί να προκαλέσει ουλές και φλεγμονή των σπειραμάτων. Η σπειραματονεφρίτιδα αναστέλλει το ρόλο του νεφρού στη ρύθμιση της αρτηριακής πίεσης.
Διαβητική νεφροπάθεια. Τα υψηλά επίπεδα σακχάρου στο αίμα συμβάλλουν στην ουλοποίηση των σπειραμάτων και αυξάνουν τον ρυθμό ροής του αίματος μέσω των νεφρώνων.
Εστιακή τμηματική σπειραματοσκλήρυνση. Σε αυτή την κατάσταση, η ουλοποίηση είναι διάσπαρτη σε ορισμένα από τα σπειράματα. Αυτό μπορεί να είναι αποτέλεσμα άλλης νόσου ή μπορεί να εμφανιστεί χωρίς να υπάρχει γνωστός λόγος.

Ποιες είναι oι επιπλοκές της πάθησης
Η σπειραματονεφρίτιδα επηρεάζει την ικανότητα των νεφρώνων να φιλτράρουν αποτελεσματικά το αίμα. Η διαταραχή του φιλτραρίσματος έχει ως αποτέλεσμα:
- Συσσώρευση αποβλήτων ή τοξινών στην κυκλοφορία του αίματος
- Κακή ρύθμιση των βασικών μετάλλων και θρεπτικών συστατικών
- Απώλεια ερυθρών αιμοσφαιρίων
- Απώλεια πρωτεϊνών του αίματος
Οι πιθανές επιπλοκές της σπειραματονεφρίτιδας είναι οι εξής:
Οξεία νεφρική ανεπάρκεια. Η οξεία νεφρική ανεπάρκεια είναι η ξαφνική, ταχεία πτώση της νεφρικής λειτουργίας, η οποία συχνά σχετίζεται με μία μολυσματική αιτία σπειραματονεφρίτιδας. Η συσσώρευση αποβλήτων και υγρών μπορεί να είναι απειλητική για τη ζωή, εάν δεν αντιμετωπιστεί άμεσα με ένα μηχάνημα τεχνητού φιλτραρίσματος (αιμοκάθαρση). Οι νεφροί συχνά επανέρχονται σε φυσιολογική λειτουργία μετά την αποκατάσταση.
Χρόνια νεφρική νόσος. Η επίμονη φλεγμονή οδηγεί σε μακροχρόνια βλάβη και μείωση της λειτουργίας των νεφρών. Η χρόνια νεφρική νόσος ορίζεται γενικά ως νεφρική βλάβη ή μειωμένη λειτουργία για τρεις ή περισσότερους μήνες. Η χρόνια νεφρική νόσος μπορεί να εξελιχθεί σε νεφρική νόσο τελικού σταδίου, η οποία απαιτεί είτε αιμοκάθαρση είτε μεταμόσχευση νεφρού.
Υψηλή αρτηριακή πίεση. Η βλάβη των σπειραμάτων από φλεγμονή ή ουλές μπορεί να οδηγήσει σε αυξημένη αρτηριακή πίεση.
Νεφρωσικό σύνδρομο. Το νεφρωσικό σύνδρομο είναι μια κατάσταση κατά την οποία υπάρχει υπερβολική ποσότητα πρωτεΐνης αίματος στα ούρα και υπερβολικά λίγη στην κυκλοφορία του αίματος. Αυτές οι πρωτεΐνες παίζουν ρόλο στη ρύθμιση των υγρών και των επιπέδων χοληστερόλης. Η πτώση των πρωτεϊνών του αίματος έχει ως αποτέλεσμα υψηλή χοληστερόλη, υψηλή αρτηριακή πίεση και πρήξιμο (οίδημα) του προσώπου, των χεριών, των ποδιών και της κοιλιάς. Σε σπάνιες περιπτώσεις, το νεφρωσικό σύνδρομο μπορεί να προκαλέσει θρόμβωση σε ένα νεφρικό αιμοφόρο αγγείο.
Πώς διαγιγνώσκεται η σπειραματονεφρίτιδα;
Ο γιατρός σας θα εξετάσει το ιατρικό σας ιστορικό και θα κάνει μια φυσική εξέταση. Άλλες εξετάσεις μπορεί να είναι οι ακόλουθες:
- Ανάλυση ούρων. Αυτή η εξέταση εξετάζει τα ούρα για ερυθρά και λευκά αιμοσφαίρια, λοίμωξη ή υπερβολική ποσότητα πρωτεΐνης.
- Εξετάσεις αίματος. Εξετάσεις για τη μέτρηση των επιπέδων των αποβλήτων για να διαπιστωθεί πόσο καλά φιλτράρουν το αίμα οι νεφροί.
- Υπερηχογράφημα των νεφρών. Αυτή η εξέταση χρησιμοποιεί ηχητικά κύματα υψηλής συχνότητας και έναν υπολογιστή για να δημιουργήσει εικόνες των αιμοφόρων αγγείων, των ιστών και των οργάνων. Γίνεται για να διαπιστωθεί εάν το σχήμα ή το μέγεθος του νεφρού είναι μη φυσιολογικό. Οι υπέρηχοι χρησιμοποιούνται για να βλέπουμε τα όργανα καθώς λειτουργούν και για να ελέγχουμε τη ροή του αίματος σε αυτά μέσω των αιμοφόρων αγγείων.
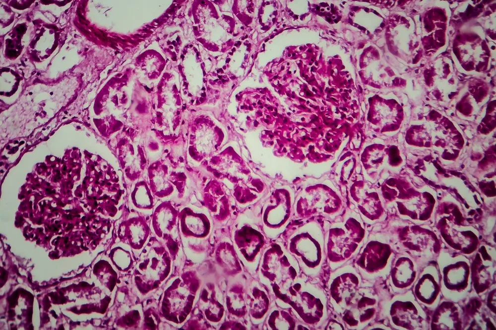
- Βιοψία νεφρού. Σε αυτή την εξέταση, αφαιρούνται δείγματα ιστού από το νεφρό και ελέγχονται στο μικροσκόπιο.

Θεραπεία
Η θεραπεία της σπειραματονεφρίτιδας και η έκβασή σας εξαρτώνται από τα εξής:
- Εάν έχετε οξεία ή χρόνια μορφή της νόσου
- Την υποκείμενη αιτία
- Τον τύπο και τη σοβαρότητα των σημείων και συμπτωμάτων σας
Ορισμένες περιπτώσεις οξείας σπειραματονεφρίτιδας, ιδίως εκείνες που προκύπτουν μετά από λοίμωξη με στρεπτόκοκκο, ενδέχεται να βελτιωθούν από μόνες τους και να μην απαιτηθεί θεραπεία. Εάν υπάρχει υποκείμενη αιτία – όπως υψηλή αρτηριακή πίεση, λοίμωξη ή αυτοάνοσο νόσημα – η θεραπεία θα κατευθυνθεί προς την υποκείμενη αιτία.
Σε γενικές γραμμές, ο στόχος της θεραπείας είναι η προστασία των νεφρών σας από περαιτέρω βλάβες και η διατήρηση της νεφρικής λειτουργίας.
Θεραπείες για τη σχετιζόμενη νεφρική ανεπάρκεια
Η νεφρική ανεπάρκεια είναι η απώλεια του 85% ή περισσότερο της νεφρικής λειτουργίας. Η οξεία νεφρική ανεπάρκεια λόγω σπειραματονεφρίτιδας που σχετίζεται με λοίμωξη αντιμετωπίζεται με αιμοκάθαρση. Η αιμοκάθαρση χρησιμοποιεί μια συσκευή που λειτουργεί σαν ένας τεχνητός, εξωτερικός νεφρός που φιλτράρει το αίμα σας.
Η νεφροπάθεια τελικού σταδίου είναι χρόνια νεφροπάθεια που μπορεί να αντιμετωπιστεί μόνο με τακτική αιμοκάθαρση ή μεταμόσχευση νεφρού.
